当前位置:主页 > 世界排行 > 手机访问:m.whhjs.com
来源:www.whhjs.com时间:2019-03-28奇闻指数:编辑:admin手机版
绝症,一个让很多人闻风丧胆的字眼。它就像是死神的宣判书,告诉你,你的有生之年还有多久。由世界卫生组织公认的世界五大绝症,都是很难治愈的疾病。生老病死并不可怕,可怕的是还没过完精彩的人生,就患上了一种无法治愈的病,让你的生命一下终止,并且你还得承受病痛的折磨。据调查,世界五大绝症的死亡率排序依次为艾滋病99% ,癌症98%,白血病95%,运动神经元症93%,类风湿50%。

运动神经元症也称为渐冻人症,正如它的名称一样,患者就像被雪冻住一样,一般是在40岁后发病,初期时是手脚开始不灵活,甚至会无故跌倒,慢慢的手和脚都出现障碍,无法再走路,生活也不能自理,到了中末期,连进食也开始困难,到最后呼吸困难,对于渐冻人就可怕的是意识完全清醒,眼看着自己慢慢呼吸衰竭,到目前为止,还没有任何治疗方法。由于感觉神经并未受到侵犯,因此这种病并不影响患者的智力、记忆及感觉。像人们熟知的一代理论物理学大师、科学巨匠霍金就是位“渐冻人”。根据该病的全球发病率推算,保守估计我国至少有20万名“渐冻人”。

也叫恶性肿瘤,相对的有良性肿瘤如囊肿。肿瘤是指机体在各种致瘤因素作用下,局部组织细胞基因突变异常增生而形成的局部肿块,由于变异细胞的增生无法控制,无限增殖,破坏了正常器官功能,导致病人受损组织器官衰竭而亡;如果发现和治疗不及时,它还可转移到全身各处生长繁殖,最后导致人体消瘦、无力、贫血、食欲不振、发热。
患癌率在不断增长
各个年龄层的人都有可能产生癌症,由于DNA的损伤会随着年龄而累积增加,罹癌的风险会随着年龄的增长而升高,同时有数种癌症在发达国家较常见。据世界卫生组织调查,美国每年逝世的5个人当中有一人是因癌症致死,这一数字在世界范围则是100-350/100000。癌症在发达国家中已成为主要死亡原因之一,是世界五大绝症中发生最频繁的病症。随着人类越来越长寿及开发中国家生活习惯的改变,全球的罹癌率整体而言在上升中。

白血病是造血组织的恶性疾病,又称“血癌”。其特点是骨髓及其他造血组织中有大量白血病细胞无限制地增生,并进入外周血液,而正常血细胞的制造被明显抑制,该病居年轻人恶性疾病中的首位,病因至今仍不完全清楚,病毒可能是主要的致病因子,但还有许多因素如放射、化学毒物(苯等)或药物、遗传素质等造成骨髓、脾、肝等造血器官中白血病细胞的恶性增生,可进入血循环、并浸润到全身各组织脏器中,临床可见有不同程度的贫血、出血、感染发热以及肝、脾、淋巴结肿大和骨骼疼痛。白血病患者中,男性多于女性。
唯一能治疗的绝症
白血病的治疗方式包括化学疗法、放射线疗法、标靶治疗与骨髓移植。某些类型的白血病会采用所谓“观察等待”的策略。预后方面,发达国家比以前有明显进步,以美国为例,其五年存活率在2011年的统计数据为57%。儿童的五年存活率一般比成人高,依据白血病的类型不同,大约在60到85%之间。急性白血病病患若接受治疗痊愈且5年内没有复发的话,之后终身复发的概率相当低。另外,白血病的治疗有可能需要配合输血或输血小板及疼痛管理。安宁缓和治疗不论有没有进一步治疗以控制,都可能有帮助。

艾滋病全名为"获得性免疫缺陷综合症",是世界五大绝症中致死率最高的,艾滋病不同一般的病菌,它侵入人体后直接对人体免疫系统中中枢细胞——T4淋巴细胞进行攻击,破坏T4淋巴细胞,使人体失去抵抗能力,人体的免疫系统补破坏后,就会感染到其它的疾病,艾滋病是不会致死的,但当人体感染其它疾病后,就会导致各种的感染而死亡。

HIV病毒为脆弱的RNA病毒,如暴露在空气中,会因病毒量多寡而在几秒钟至几分钟之内全数死亡。HIV病毒特性原本即特别脆弱且不能接触空气,HIV病毒的感染大多于较封闭环境,如血管里面传播(输血/共享针筒方式等), 阴道或肛门直肠的环境,透过潜藏在血液、精液、阴道分泌液、母乳等传染,不包括唾液, 汗液, 尿液或其他体液。一般情况下,接吻不会造成感染HIV病毒。

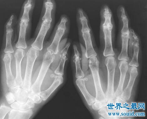
症状:目前来说,对于类风湿关节炎的病因还没有明确,可能跟内分泌、职业、代谢、病毒感染和遗传有关,是一种属于自身免疫炎性病症,该病多发在手、腕和足等小关节,且会反复发作,早期会出现关节红肿和出出行动不便,晚期的关节会出现僵硬畸形,有时伴有骨和骨骼的萎缩,甚至会致残,还会蔓延至全身病变,患者会有发热、疲乏无力、周围神经病变等现象。
类风湿关节炎的治疗

治疗主要针对改善疼痛、减少发炎以及改善全身机能。适当的休息及运动、使用夹板及背带或辅具等皆能帮助治疗改善。药物方面,常使用止痛剂、类固醇、非类固醇抗发炎药物来缓解症状;疾病调节抗风湿药物,亦可用来控制减缓病程,通常是在其他疗程对病人无效时才会使用到此类药物,然而此类药物相较于其他疗程也可能对病人造成较大的副作用。在特定状况下,可能使用外科手术方式针对关节进行修复、置换、融合。大部分的替代疗法皆无证据支持其有效。